|
Getting your Trinity Audio player ready...
|
Jack Phillips, Breaking News Reporter
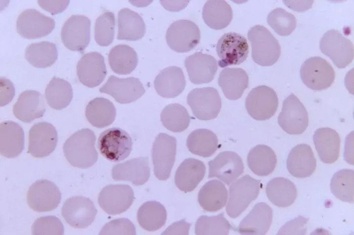
The Florida Department of Health issued a statewide alert after four people in Sarasota contracted malaria in locally transmitted cases, coming a day after the U.S. Centers for Disease Control and Prevention issued a similar notice for Florida and Texas.
“All individuals have been treated and have recovered. Malaria is transmitted through infected mosquitoes,” Florida’s Department of Health stated in a release issued June 27.
The agency stated that ground and airborne spraying that targets mosquitos will be carried out around Sarasota, which is near Tampa, to mitigate transmission.
“Effective treatment is readily available through hospitals and other health care providers,” the department stated. “Individuals in this area with symptoms of fever, chills, sweats, nausea/vomiting, and headache should seek immediate medical attention.”
It also advised the public to control the breeding of mosquitoes by eliminating any standing water, which is where mosquitoes lay their eggs.
“Drain water from garbage cans, house gutters, buckets, pool covers, coolers, toys, flowerpots, or any other containers where sprinkler or rainwater has collected,” the alert said.
Locals should also take precautions while outdoors by using bug spray, avoiding infested areas, and wearing long sleeves and pants if possible.
Malaria is caused by a parasite, Plasmodium vivax, that spreads via mosquito bites, with the largest number of deaths occurring in tropical places such as sub-Saharan Africa. Malaria can be transmitted only by infected mosquitoes, not other people.
Symptoms include chills, fever, tiredness, headache, muscle aches, vomiting, diarrhea, and nausea, and anemia and jaundice may also occur. If left untreated, infected individuals could develop more serious complications and die.
According to the World Malaria Report, released by the U.N. World Health Organization, there were about 247 million cases of malaria in 2021, while the estimated death toll for that year was 619,000. The WHO African Region had the highest share, accounting for about 95 percent of cases and 96 percent of deaths, it said.
Malaria was mostly eliminated in the United States in 1951 after officials sprayed the pesticide DDT and drained swamps in rural areas. DDT was ultimately banned in 1972 in the United States but is still used in African countries.
CDC Issues Notice for 2 States
Earlier this week, the Centers for Disease Control and Prevention (CDC) stated that the cases in Florida and one in Texas mark the first local spread of malaria in the United States in about 20 years.
The CDC alert on June 26 said that there is “concern for a potential rise in imported malaria cases associated with increased international travel in” the summer of 2023, adding that there is also a “need to plan for rapid access to” intravenous artesunate, a medication derived from the sweet wormwood plant, Artemisia annua. The CDC classifies the drug as “the first-line treatment” for severe cases of malaria in the United States.
“In Florida, four cases within close geographic proximity have been identified, and active surveillance for additional cases is ongoing,” the alert said. “Mosquito surveillance and control measures have been implemented in the affected area.”
One case was detected in Texas, while “surveillance for additional cases, as well as mosquito surveillance and control, are ongoing,” the CDC said. “All patients have received treatment and are improving.”
It noted that locally transmitted mosquito-borne malaria hasn’t occurred in the United States since 2003, when there were about eight cases of the illness in Palm Beach County, also located in Florida. The alert said that some species of anopheles mosquitos, found in multiple areas around the United States, can transmit the parasitic disease if they feed on an infected individual.
Cases of malaria are reported in the United States each year, averaging about five to 10 deaths annually, but it usually occurs in individuals who recently traveled outside the country, according to officials. The five cases noted in the CDC alert were locally transmitted.
The Texas Department of State Health Services last reported the detection of a local malaria case in a person who had been working outdoors. That individual, it said, hadn’t traveled outside the country or state.
“Malaria is a medical emergency and should be treated accordingly. Patients suspected of having malaria should be urgently evaluated in a facility that is able to provide rapid diagnosis and treatment, within 24 hours of presentation,” the U.S. health agency wrote.
The CDC alert indicated that there is no evidence that the cases in Florida and Texas are related.


